Zdraví a péče o zuby – co potřebujete vědět

Každý z nás chce mít úsměv, který vypadá dobře a zároveň je zdravý. Proto je dobré znát nejen základní hygienu, ale i to, jak řešit běžné problémy, které se u zubů objeví. V tomhle článku vám přiblížím nejčastější situace a jednoduché kroky, které můžete udělat hned po přečtení.

Časté problémy a jak je řešit

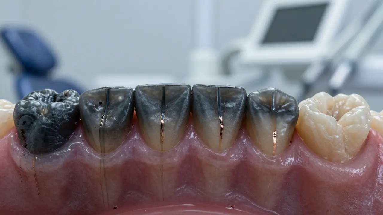
Jedním z největších šoků je ulomený přední zub. Často se s ním člověk setká po úrazu nebo při sportu. První pomoc je zachovat zub a vyhledat stomatologa co nejdříve. Oprava může být zhotovena z kompozitu, porcelánu nebo zubním implantátem – výběr závisí na rozsahu poškození a vašem rozpočtu. Cena se liší, ale kvalita práce je klíčová – levnější řešení může vést k dalším komplikacím.

Po odstranění rovnátek se často objeví zuby s erozí nebo mírně poškozeným vzhledem. Regenerace po rovnátkách zahrnuje vyhlazení povrchu, aplikaci fluoridu a v některých případech i malé fazety. Kompozitní fazety jsou oblíbené, protože jsou levnější než porcelán a dokážou skryť drobné nedokonalosti.

Další častou procedurou je kyretáž – odstranění poškozené dentiny a zpřístupnění zdravé struktury zubu. Tato metoda je účinná při léčbě hlubokých kazů a pomáhá zachovat co nejvíc přirozené tkáně.

Zubní implantáty jsou dnes považovány za jednu z nejbezpečnějších možností, jak nahradit chybějící zub. Implantát se zakotví do čelisti, na něj se nasadí korunka a výsledek vypadá i funguje jako přirozený zub. Důležitá je správná péče – pravidelný kartáčování a návštěvy u zubaře prodlouží životnost implantátu.

Jak udržet úsměv zdravý a krásný

Nejjednodušší cesta k zdravým zubům je prevence. Kartáčujte si zuby dvakrát denně, používejte mezizubní kartáčky nebo dentální nit a nezapomeňte na ústní vodu. Pokud máte citlivé zuby, volte pastu bez abrazivních částic a vyhledejte zubního lékaře, který vám poradí s vhodným ošetřením.

Pravidelná kontrola u zubaře (každých šest měsíců) zachytí problémy včas. Při návštěvě si můžete nechat vyčistit zubní kámen, zkontrolovat stav výplní a zjistit, jestli nepotřebujete úpravu skusu.

Pokud uvažujete o kosmetických zákrocích, porovnejte cenu a kvalitu různých možností. Kompozitní fazety jsou rychlé a levnější, ale pro dlouhodobou estetiku může být lepší porcelán. Vždy se poraďte s odborníkem, který vám pomůže vybrat to pravé.

Na závěr nezapomeňte, že zdraví zubů ovlivňuje i strava. Omezte sladkosti, konzumujte méně kyselých nápojů a raději si dejte ovoce, zeleninu a mléčné výrobky. Tyto jednoduché kroky vám pomohou udržet úsměv, který vydrží celý život.

/jak-cerny-zubni-kamen-ovlivnuje-vase-kosti-a-proc-to-nemuzete-ignorovat
Zdraví a péče o zuby
Jak černý zubní kámen ovlivňuje vaše kosti a proč to nemůžete ignorovat

Černý zubní kámen není jen estetický problém - ničí kosti kolem zubů a může vést k trvalé ztrátě zubů. Zjistěte, jak se tvoří, proč je nebezpečný a jak ho zastavit.

/odhalte-tajemstvi-dokonale-ustni-hygieny-s-curaprox-kartacky
Zdraví a péče o zuby
Odhalte tajemství dokonalé ústní hygieny s Curaprox kartáčky

Curaprox kartáčky jsou navrženy pro dokonalou ústní hygenu - jemné štětce, odolné proti bakteriím a perfektní pro čištění mezi zuby. Zjistěte, proč jsou ideální pro zdravé dásně a jak je správně používat.

/jak-vyjednat-cenu-za-opravu-ulomeneho-predniho-zubu-pruvodce-cenami-a-strategiemi
Zdraví a péče o zuby
Jak vyjednat cenu za opravu ulomeného předního zubu: průvodce cenami a strategiemi

Zjistěte, kolik skutečně stojí oprava ulomeného předního zubu a jak vyjednat nejlepší cenu bez přeplatku. Reálné ceny, strategie a chyby, které byste měli vyhnout.

/sady-na-beleni-zubu-vyhody-a-nevyhody-domaciho-beleni
Zdraví a péče o zuby
Sady na bělení zubů: Výhody a nevýhody domácího bělení

Sady na bělení zubů jsou levné a snadno dostupné, ale nejsou vhodné pro všechny. Zjistěte, kdy pomohou, kdy mohou škodit a jak vybrat bezpečný produkt.

/dentalni-zrcatko-jak-ho-pouzivat-pro-kontrolu-stavu-zubnich-abscesu
Zdraví a péče o zuby
Dentální zrcátko: Jak ho používat pro kontrolu stavu zubních abscesů

Dentální zrcátko vám pomůže včas detekovat zubní abscesy dříve, než začnou bolet. Zjistěte, jak ho používat, co hledat a co dělat, když najdete podezřelý otok nebo hnis na dásni.

/nazvy-jednotlivych-zubu-kompletni-prehled-pro-zdravotniky
Zdraví a péče o zuby
Názvy jednotlivých zubů: Kompletní přehled pro zdravotníky

Názvy jednotlivých zubů jsou základní znalost pro každého zdravotníka. Přehled systému FDI, čísel, typů zubů a jejich funkcí, který pomáhá přesně komunikovat a lépe léčit.

/po-kolika-letech-je-narok-na-vymenu-zubni-nahrady-vse-co-potrebujete-vedet-o-implantatech-a-protezach
Zdraví a péče o zuby
Po kolika letech je nárok na výměnu zubní náhrady? Vše, co potřebujete vědět o implantátech a protézách

Zubní náhrada nevydrží věčně. Víte, kdy je čas na výměnu implantátu nebo korunky? Zjistěte, jak dlouho trvají moderní zubní náhrady, kdy je nejlepší je vyměnit a jak předcházet nákladným komplikacím.

/jake-zrcatko-pouziva-zubni-lekar-vsechno-co-potrebujete-vedet-o-dentalnim-zrcatku
Zdraví a péče o zuby
Jaké zrcátko používá zubní lékař? Všechno, co potřebujete vědět o dentálním zrcátku

Dentální zrcátko je klíčový nástroj zubního lékaře, který umožňuje vidět skryté oblasti ústní dutiny. Zjistěte, jak funguje, jaké druhy existují a proč je tak důležité pro přesnou diagnózu.

/jak-cerny-zubni-kamen-ovlivnuje-vasi-energii-skutecny-vliv-na-telo-a-psychiku
Zdraví a péče o zuby
Jak černý zubní kámen ovlivňuje vaši energii: skutečný vliv na tělo a psychiku

Černý zubní kámen nejen znečišťuje zuby, ale může způsobovat chronickou únavu, poruchy spánku a náladu. Zjistěte, jak ovlivňuje vaši energii a co s tím dělat.

/kyretaz-zubu-versus-cisteni-zubu-co-je-lepsi-a-kdy-se-ktera-procedura-pouziva
Zdraví a péče o zuby
Kyretáž zubů versus čištění zubů: Co je lepší a kdy se která procedura používá?

Kyretáž zubů není jen silnější čištění - je to léčba parodontitidy, která může zachránit vaše zuby. Zjistěte, kdy je potřeba kyretáž, co se stane, když ji neuděláte, a jak se liší od běžného čištění zubů.