Jak se vypořádat s tetracyklinovými zuby: Kompletní průvodce pro znovunabytí úsměvu

post-image

Co jsou to tetracyklinové zuby a jak vznikají

Tetracyklinové zuby jsou specifickým stavem, kdy dochází k zabarvení zubů kvůli užívání antibiotik ze skupiny tetracyklinů během období, kdy zuby ještě nebyly plně vyvinuty. Tetracykliny se dostávají do kalcifikačního centra zubů a způsobují reakci, která vede k jejich zabarvení. Tyto antibiotika byla široce používána v minulosti pro léčbu řady infekcí u dětí i dospělých, přičemž vznik tetracyklinových zubů je nechtěným důsledkem jejich užití.

Příznaky a diagnostika

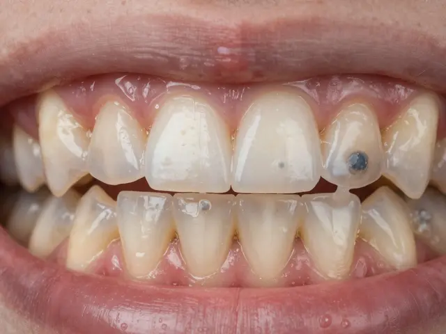
Příznaky tetracyklinových zubů se mohou lišit od světlé žluté až po tmavě šedou či hnědou barvu skvrn na zubech. Ve vážnějších případech mohou být zuby nepravidelně zabarvené nebo mít pruhovaný vzor. Diagnostika obvykle spočívá v důkladném vyšetření ústní dutiny dentálním specialistou, který může zahrnovat i röntgenové snímky pro posouzení rozsahu poškození.

Běžné léčebné metody

K léčbě tetracyklinových zubů se používají různé metody, od bělení přes fasetování po korunky. Bělení je obecně méně účinné u těžce zabarvených zubů, ale moderní technologie jako je laserové bělení mohou přinést lepší výsledky. Fasetování a korunky nabízejí esteticky přijatelnější řešení, i když jsou dražší a vyžadují větší zásah do zubní struktury.

Prevence tetracyklinových zubů

Prevence spočívá především v omezení užívání tetracyklinů u dětí během období růstu zubů a při těhotných ženách. Lékaři by měli pečlivě zvažovat předepsání tetracyklinů a v případě nutnosti doporučit alternativní léčbu.

Výběr správného zubního odborníka

Při rozhodování o léčbě tetracyklinových zubů je klíčové vybrat si kvalifikovaného zubního specialistu, který má zkušenosti s touto specifickou problematikou. Vhodné je informovat se o různých možnostech léčby a vybrat tu, která nejlépe vyhovuje individuálním potřebám a očekáváním.

Dlouhodobá péče a údržba

Pro ty, kteří podstoupí léčbu tetracyklinových zubů, je důležité pokračovat v pravidelné dentální hygieně a péči. Návštěvy u zubního lékaře by měly být pravidelné, aby se zachovaly získané výsledky a předešlo se dalším problémům s úsměvem.

Využití moderní technologie v léčbě

Moderní dentální technologie nabízejí nové možnosti pro léčbu tetracyklinových zubů. Od inovativních metod bělení až po pokročilé techniky fasetování nebo korunkování, existuje řada postupů, které mohou výrazně zlepšit vzhled zubů postižených tetracykliny. Klíčem je vybrat si metodu, která nejlépe vyhovuje individuálním potřebám jednotlivce.