Profesionální dentální hygiena: Proč je důležitá a co vám skutečně přináší

post-image

Výpočet úspor z profesionální dentální hygieny

Zjistěte, kolik peněz můžete ušetřit

Profesionální dentální hygiena není jen o zdravých zubech. Je to také klíčová investice do vašeho zdraví a vašich peněženek. Vypočítejte, kolik peněz můžete ušetřit pravidelnou hygienou oproti potenciálním nákladům na komplikace.

Profesionální dentální hygiena není luxus. Není to jen „příležitostná úprava“ před svatbou nebo fotkou. Je to základní ochrana, která udržuje vaše zuby a dásně zdravé po celý život. Mnoho lidí si myslí, že stačí dobře čistit zuby doma. To je pravda - ale nestačí. Profesionální čištění od zubní hygieničky je to, co domácí péče nikdy nedokáže nahradit. A to nejen kvůli zubnímu kameni. Je to o tom, co nevidíte, co nečistíte a co se začíná dít, když to nikdo nevidí.

Co se skutečně děje na vašich zubech, když je čistíte jen doma?

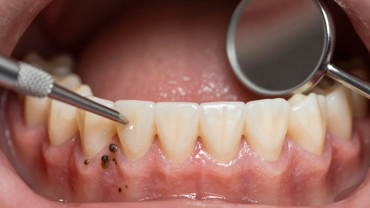
Když si čistíte zuby dvakrát denně, myslíte si, že jste v pořádku. A ano - odstraňujete plak. Ale plak se za 24 hodin znovu vytváří. A za týden se začíná měnit v zubní kámen. Ten už žádná kartáček neodstraní. Nejsou to jen nehezké skvrny. Zubní kámen je skutečná plocha, kde se hromadí bakterie. A ty nejen způsobují zápach z úst, ale poškozují dásně. A dásně, které jsou zdravé, nekrvácí. Když krvácí, je to první varování - parodontoza začíná. A ta je nevratná.

Profesionální čištění odstraňuje ten kámen, který se vytvořil v místech, kde kartáček nedosáhne - mezi zuby, pod dásněmi, za zadními zuby. Hygienička používá ultrazvukové zařízení, které rozpadá kámen na mikročástice, a poté jemně odstraní zbytky plaku pomocí jemných nástrojů. To je jako „reset“ pro vaše ústy. A to všechno bez bolesti. Většina lidí se bojí, že to bude nepříjemné. Ve skutečnosti je to spíš příjemné. Po čištění cítíte, jak jsou vaše zuby hladké, jako byste je měli nové.

Proč to nemůžete udělat sami?

Když si představíte, že vaše zuby jsou jako domečky, tak domácí čištění je jako čištění předních oken. Profesionální hygiena je jako úprava střechy, komínů a základů. To, co nevidíte, je často to, co vás zničí.

Pod dásněmi se tvoří tzv. zubní kámen v zubodásňovém kapse. Tam se hromadí bakterie, které produkují kyseliny a toxiny. Ty způsobují zánět dásní, který se postupně rozšiřuje na kost, která drží zuby. Když se kost začne rozpadat, zuby se začnou hýbat. A když se hýbou dostatečně, zůstanou jen jako „příběh“ v ústech. A to všechno probíhá bez bolesti - dokud není příliš pozdě.

Domácí hygiena je jako předcházení požáru. Profesionální hygiena je jako hasiči, kteří přijdou, když už hoří. A když hoří už dřevo pod podlahou, už není čas na „příště“.

Co vám profesionální hygiena přesně přináší?

  • Zdravější dásně - krvácení přestane, dásně se zahušťují a nejsou citlivé na studené nebo horké potraviny.
  • Delší život zubů - zuby, které jsou chráněny před zubním kamenem a zánětem, vydrží desítky let. Bez hygieny můžete ztratit zuby už ve 40. letech.
  • Lehčí ústní hygiena doma - když je povrch zubů hladký, plak se na ně nelepí tak snadno. Čistíte lépe a rychleji.
  • Žádný zápach z úst - zápach není jen o jídle. Je to většinou způsobený bakteriemi v zubodásňových kapsách. Ty se odstraní během hygieny.
  • Ušetření peněz - čištění stojí 800-1 500 Kč. Plomby, krytí, kořenové kanálky, výběry zubů - to stojí tisíce. A často je to bolestivé a dlouhé.

Je to jako výměna oleje v autě. Není to nákladné. Ale když to neuděláte, motor se rozpadne. A potom už nejde jen o náklady - je to o tom, že auto už nejede.

Kdo by měl jít na hygenu a jak často?

Každý. Ano, každý. Děti, dospělí, seniori. Pokud máte zuby, potřebujete hygenu.

Standardní doporučení je dvakrát ročně. Ale to není pevné pravidlo. Někdo, kdo má silnější zubní kámen, potřebuje čištění každé tři měsíce. Někdo, kdo má zdravé dásně a čistí zuby perfektně, může jít jen jednou ročně. To rozhodne hygienička po první návštěvě. Neexistuje „jedno pro všechny“.

Nečekáte, až vás bolejí zuby. To je jako čekat, až vám auta přestane jet, než si koupíte nový motor. Když jde někdo na hygenu, když ho něco bolí, je to příliš pozdě. To je jako jít na lékaře, až máte rakovinu.

Koncepční obrázek úst jako domu s poškozeným základem kvůli zubnímu kamenu.

Co se stane, když hygenu necháte?

Zubní kámen se zhroutí. Dásně se odtrhávají od zubů. Vznikají tzv. zubodásňové kapsy - hluboké dutiny, kde se hromadí bakterie. Ty způsobují zánět, který se šíří do kosti. Kost se rozpadá. Zuby se začnou hýbat. A když se hýbou, už je nejde zachránit. Musí se vyndat.

A potom přichází náhrada. Plomby, mosty, implantáty. Všechno to stojí tisíce. A všechno to je mnohem složitější, než dvakrát ročně jít na čištění.

Nejhorší je, že ztráta zubů není jen o estetice. Je to o schopnosti jíst. O tom, že už nemůžete sníst jablko. O tom, že vám všechno chutná jinak. O tom, že se vám začnou měnit tváře - když chybí zuby, kost v obličeji se začne rozpadat. A to je nevratné.

Je to bezpečné? Je to bolestivé?

Ano, je to bezpečné. Ultrazvukové čištění je moderní, neinvazivní a nezpůsobuje poškození zubů. Nástroje jsou navržené tak, aby nezničily sklovinu. Pokud máte citlivé zuby, hygienička použije speciální gel nebo způsob, který minimalizuje nepříjemnosti.

Bolest? Téměř nikdy. Většina lidí říká: „To je všechno?“ Po návštěvě. Většina bolesti přichází, když jste hygenu nechali na 5 let. Když je kámen silný a dásně zánětlivé, může být příjemnější, když se to dělá v několika sezeních. Ale to je výjimka. Většina lidí to prožije jako „relaxující čas“.

Co dělat po hygieně?

Po čištění je dobré vyhnout se barvivům na 24 hodin - káva, červené víno, čaj, tabák. Zuby jsou po hygieně trochu více „otvorené“ a mohou se snadněji zabarvit. Ale to je jen na den. Pak můžete jíst, co chcete.

Nezapomeňte na domácí péči. Čistěte zuby dvakrát denně, používejte nit a ústní vodu. A každých 6 měsíců zase jít na kontrolu. To je klíč. Ne jednorázová akce. To je životní styl.

Detailní záběr zubního kamene na dásních a zdravého zubního povrchu.

Je to jen pro zdravé zuby?

Ne. Je to důležité i pro ty, kdo mají implantáty, mosty, zubní náhrady. Plak se hromadí i kolem těchto zařízení. A když se hromadí, může způsobit zánět dásní kolem implantátu - tzv. periimplantitida. A ta může vést k ztrátě implantátu. Ano, i implantáty potřebují hygenu. Častěji než vaše vlastní zuby.

Je to stejné jako u karet. I když je to „umělá“ část, potřebuje péči. Jinak se rozpadne.

Kde hledat kvalitní hygenu?

Hledejte zubní hygieničku s certifikací. V Česku je to povinné. Všechny hygieničky musí mít vysokoškolské vzdělání a licenci. Neříkejte „zubní lékař“, když chcete hygenu. Hledejte konkrétně hygieničku. Většina klinik má na webu uvedeno, kdo je hygienička a jak dlouho pracuje.

Neříkejte „nejlevnější“. Hygenu nekupujete jako lístek na film. Je to lékařská služba. Kvalitní hygienička si vezme čas, ukáže vám, co dělá, vysvětlí, co potřebujete dělat doma. A nechá vás jít domů s jasným plánem. To je hodnota.

Nejlepší způsob, jak najít dobrou hygieničku, je zeptat se přátel, kdo má zdravé zuby a nejde na zubaře 10 let. To je ten, kdo má správnou hygenu.

Co ještě můžete dělat pro své zuby?

  • Čistěte zuby 2 minut dvakrát denně - použijte časovač.
  • Používejte fluoridovou zubní pastu - fluorid posiluje sklovinu.
  • Čistěte mezery zubů nití denně - kartáček to nezvládne.
  • Pijte vodu místo slazených nápojů.
  • Nečekejte, až vás něco bolí.

Zdravé zuby nejsou náhoda. Jsou výsledkem každodenního výběru. A profesionální hygiena je ta nejdůležitější část toho výběru.

Kolik stojí jedno čištění zubů u zubní hygieničky?

Cena se pohybuje mezi 800 a 1 500 Kč, podle místa, složitosti a délky čištění. Většina klinik má cenovou nabídku na webu. Pokud máte zdravotní pojištění, část nákladů může být hrazena - obvykle jednou ročně. Zkontrolujte si podmínky svého pojištění.

Je profesionální hygiena bezpečná pro lidi s citlivými zuby?

Ano. Hygienička použije speciální gel, který snižuje citlivost, nebo zvolí jemnější metodu. Můžete jí říct předem, že máte citlivé zuby - a přizpůsobí postup. Není to bolestivé, pokud je postup správně proveden.

Můžu jít na hygenu, když mám zánět dásní?

Ano, právě když máte zánět, je hygiena nejdůležitější. Čištění odstraní příčinu zánětu - plak a kámen. V některých případech se může doplnit léčba, ale hygiena je první a nejdůležitější krok. Nečekáte, až zánět zmizí - to se nestane bez odstranění příčiny.

Je třeba jít na hygenu i po výběru zubu?

Ano. Zbylé zuby a dásně potřebují ochranu. Zánět může přesunout na sousední zuby. Hygiena zabraňuje dalšímu poškozování. I když máte jen několik zubů, je důležité je udržovat zdravé.

Proč je profesionální hygiena důležitější než jen domácí čištění?

Domácí čištění odstraňuje plak, ale ne zubní kámen. Kámen se tvoří v místech, kde kartáček nedosáhne - pod dásněmi, mezi zuby, za zadními zuby. Tam se hromadí bakterie, které způsobují zánět, ztrátu kosti a nakonec ztrátu zubů. Hygiena je jediný způsob, jak tyto oblasti dosáhnout a vyčistit.

Nečekáte, až vás něco bolí. Nečekáte, až vám někdo řekne, že máte ztrátu kosti. Čekáte na to, že budete moci jíst jablko bez bolesti. A že budete moci se smát bez obav. To je důvod, proč profesionální dentální hygiena není volba. Je to povinnost - k sobě.